top of page
Alcian Blue pH 2.5 kit
Három reagensből álló készlet mucinok Dorling-féle kimutatására
AB25-100T (100 tesztre)
AB25-K-100 (3 x 100 ml)
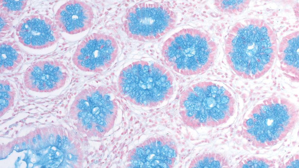
A szövettan, citológia és rokon tudományok szövetek és sejtek mikroszkópiás analízisével foglalkozik. Annak érdekében, hogy jól láthatóvá tegyük a szöveti és
sejtstruktúrákat, a megfelelő festés elengedhetetlen. Az alcián kék mucinok glycosaminoglycan tartalmát, az amyloidokat, cysteineket jelöli és a hízósejtek polikróm AlcianBlue Safranin festéséhez használatos. Baktérium fajok meghatározására és baktérium kapszid detektálására is alkalmas. Az Alcian Blue pH 2.5 kit a savas muciokat jelöli és teszi ezáltal láthatóvá a szulfatált mucinok festése nélkül. A mosó oldatok pH-ja ugyanolyan, így a reakció intenzív. A sejtmagok kontrasztfestéssel pirosra jelölődnek.

bottom of page


