top of page
Mallory Trichrome kit
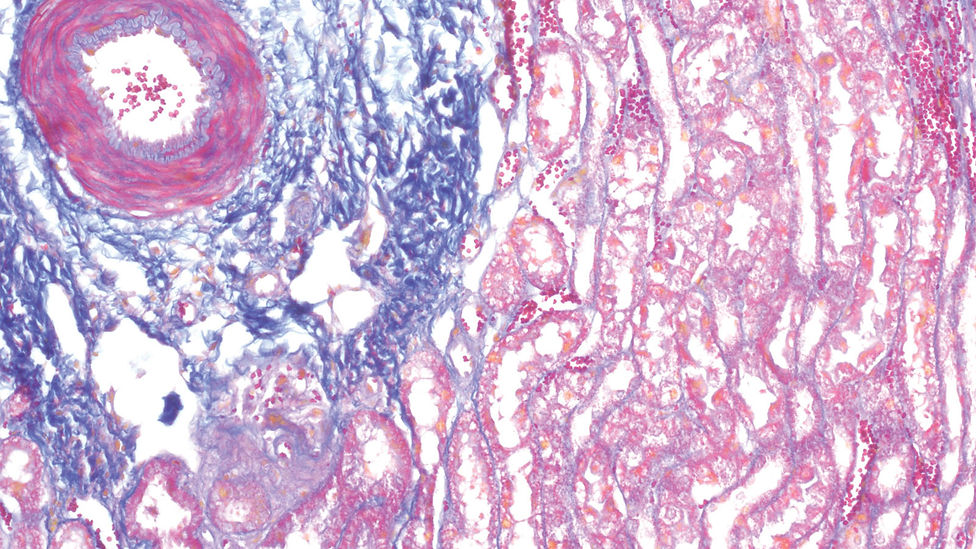
Három reagensből álló készlet izomrostok és kollagén kimutatására
MT-100T (100 tesztre)
MT-K-100 (3 x 100 ml)
A Mallory trichrome kit három különböző festék és egy kontraszt jelölés segítségével festi meg a szövetekből készült mikroszkópos preparátumokat, azok két alap összetevőjét (izom és kollagén) a fókuszba helyezve. A mintát fukszin savas festékkel kezelve a sejtmagok és izomrostok vöröses-pink árnyalatban jelölődnek. A foszfomolibdénsav molekulák ezután kiszorítják a fukszinsav festéket a kollagénből, így lehetővé téve az anilinkék bekötődését, melynek eredményeként a kollagén a vörössel kontrasztot adó kékre festődik. Az Orange G (mely a legalacsonyabb molekulatömegű komponens) a vörösvértesteket jelöli.

bottom of page


