top of page
Főoldal
Főoldal
Rólunk
Munkatársaink
Forgalmazóink
Karrier
Termékek
Hisztopatológia Kft IHC reagensek
BioGnost festékek, oldatok, reagensek
CellPath laboratóriumi fogyóeszközök
Diagnostic BioSystems IHC reagensek
ImmunoLogic IHC reagensek
Tissue MicroArray
Szolgáltatás
Jaróbeteg szakrendelés
Battyáni Zita bőrgyógyász
Szekeres György patológus
Kutatás támogatás
Kapcsolat
More
Use tab to navigate through the menu items.
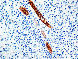
Factor VIII
Összes termék
Specificitás
Klón
Katalógusszám
Kiszerelés
Factor VIII
F8/86
Mob196-XX
0.1 ml, 0.5 ml, 1 ml, 6 ml RTU
Tovább a termékre
bottom of page