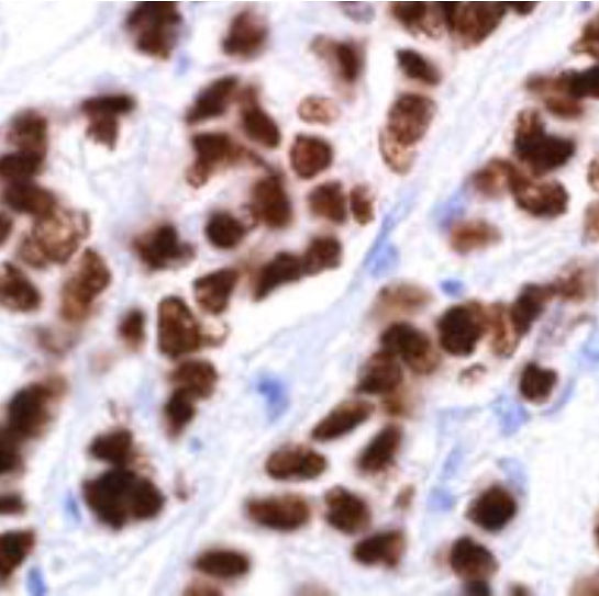
GATA3
Katalógus #:
ILM3003-CXX
Klón:
L50-823
Kiszerelés:
0,1 ml, 0,5 ml, 1 ml
Ajánlott hígítás:
1:100
A GATA-3 (GATA binding protein 3) a GATA transzkripciós fakto család tagja. Ez az 50 kDa molakulatömegű nucleáris protein szabályozza számos humán szövet fejlődését és fenntartását, például a hematopoietikus sejtek, bőr, vese, emlőmirigyek és központi idegrendszer szövetei. Egyéb szerepek mellett a GATA-3 részt vesz az emlőmirigy luminális sejtek differenciálódásában és úgy tűnik, hogy olyan gének egy készletét szabályozza, melyek az emlőrák sejtek proliferációjáért felelősek. A GATA-3 expressziója emlőrák szövetben összefüggésben van az Estrogen receptor-alpha (ER) kifejezősésével. A GATA-3 a húgyhólyagrák újabb markereként is helytáll. Egy tanulmány kimutatta, hogy a GATA-3 az uroteliális carcinoma esetek 67%-át jelölte, nem volt azonban kimutatható prosztata vagy vese carcinomákban.



